SeesDisease is bridging Pathology and Machine Learning
Unleash superior analysis with AI-powered efficiency. Our data-centric machine learning models deliver unparalleled quality and speed, surpassing human pathologist capabilities.
Contact Us!

What’s Included in SeesDisease
SeesDisease offers a comprehensive suite of machine learning models for medical image analysis, covering hematology, autofocusing, upscaling, and more.
- Accurate cell segmentation with weakly and fully-supervised models for fluorescence microscopy
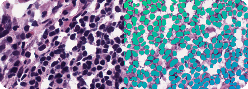
- State-of-the art pathology models for segmentation and classification
- Tailored solutions: Self-supervised models customized for your specific pathology needs.
- Accelerated blood analysis: Lightning-fast leukocyte identification with exceptional accuracy
- Introducing a new architecture type designed for loss-free training in medical image segmentation.

The Top Reasons to Choose SeesDisease for your Project
With SeesDisease you can leave the manual and annoying tasks to the AI, and focus on the more important things. Unlike other solutions, SeesDisease employs you to use your patient data to train your own models, ensuring that your data stays with you and the predictions are always correct.
- Analyze Cell Images in Real Time: Utilize our web-based interface for immediate analysis.
- Model Training Simplified: Train models with your data, no image annotation required.
- Cutting-Edge Segmentation Model: Access a vast, state-of-the-art model for comprehensive segmentation.
- Comprehensive AI Suite: From hematology to pathology, our suite meets all major diagnostic needs.

How to use SeesDisease
Our analysis tools, adhering to strict German data privacy standards, offer a user-friendly interface for global access. Access models via API, integrate into your workflow through our website, or opt for local hosting for enhanced privacy.
- Microscope-agnostic: Compatible with all major microscope types aslong a digital image can be captured.
- More power with local hosting: Keep your data secure with on-premises hosting and deploy our upscaling and autofocus services.
- User-friendly interface: Access our models via API or integrate them into your workflow through our website. No coding required.